
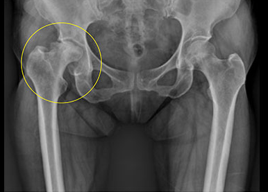
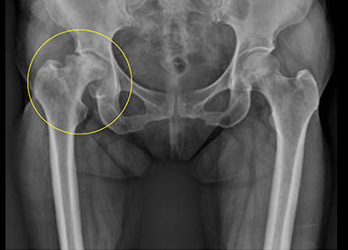
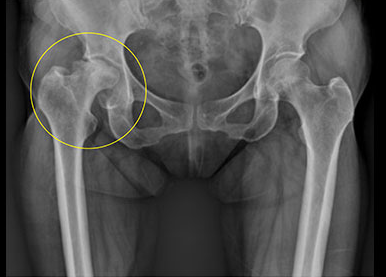
대퇴골두 무혈성 괴사는 대퇴골두라는 몸의 큰 뼈의 꼭대기 부분이 혈액 공급이 차단되어 뼈세포가 괴사하는 상황을 말합니다. 이 질환은 대퇴골의 극히 작은 부분에서 발생하며, 일반적으로 외상, 골절, 음주, 스테로이드 약물 등이 원인으로 알려져 있습니다. 하지만 정확한 원인은 아직까지 밝혀지지 않았습니다.
대퇴골두 무혈성 괴사는 비교적 젊은 연령층에서 발생할 수 있는 드문한 질환 중 하나입니다. 병의 진행이 진행될수록 인공관절 치환술이 유일한 치료법이 되기 때문에 초기 발견과 적절한 관리가 매우 중요합니다.
증상이 의심되는 경우, 정확한 진단을 위해 병원을 찾는 것이 바람직합니다. 일반적으로 대퇴골두 무혈성 괴
사의 증상에는 다음과 같은 것들이 있습니다:
- 걸을 때 방향을 전환할 때 고관절 통증이 나타남
- 차를 타고 내릴 때 사타구니 부위에서 심한 통증이 발생
- 양반다리 자세가 불편하고 쉽게 되지 않음
대퇴골두의 모양이 유지되는 초기에는 약물치료와 재활운동을 통해 병의 진행을 지연시킬 수 있습니다. 하지만 대퇴골두가 심하게 손상된 경우 고관절 인공관절 수술이 필요할 수 있습니다.
진단을 받은 환자는 점프 운동이나 장시간의 등산 등 고관절에 부담을 주는 활동을 피해야 합니다. 이러한 조치는 혈류 차단으로 뼈가 약해진 상태에서 부담을 줄여주는 역할을 합니다.
대퇴골두 무혈성 괴사는 초기 발견과 관리가 매우 중요한 질환입니다. 이를 위해 증상이 의심될 경우 즉시 의료 기관을 방문하여 정확한 진단과 치료 계획을 받아야 합니다.
2023.12.21 - [건강 상식] - [신경통 종류] 좌골 신경통에 대해서 알아보자
[신경통 종류] 좌골 신경통에 대해서 알아보자
신경통 종류 중 하나인 좌골 신경통은 많은 사람들이 경험할 수 있는 흔한 질환입니다. 이 질병은 주로 엉덩이에서 시작하여 다리까지 통증이 뻗치는 특징을 가지고 있습니다. 이러한 좌골 신경
your-healthy-meds.tistory.com
'건강 상식' 카테고리의 다른 글
| 혈당 스파이크를 막는 식사법 (0) | 2024.02.20 |
|---|---|
| 봄철 알레르기 : 증상과 대응 전략 (0) | 2024.02.19 |
| 혈액 검사로 심장 마비 예측 가능성 : 6개월 이내 사전 대응의 중요성 (0) | 2024.02.19 |
| 얼굴의 마비와 떨림: 벨 마비 vs. 반측성 안면 경련 - 증상과 치료법 비교 (2) | 2024.02.19 |
| 얼굴의 떨림과 불편함: 반측성 안면 경련에 대한 이해와 치료 (1) | 2024.02.19 |